Bone loss from gum disease happens when bacteria under the gumline destroy the bone that holds your teeth. This process can start quietly and progress over months or years, eventually causing loose teeth or tooth loss. Knowing how to prevent bone loss in teeth near Rochester, NY means learning the signs, improving daily care, and getting timely professional treatment so you keep your natural smile longer.
What causes bone loss around teeth
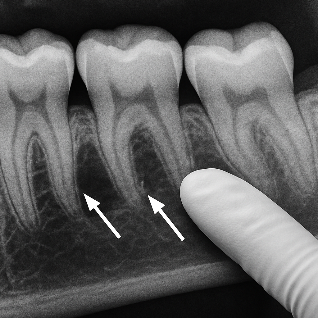
Periodontal infection begins when plaque hardens into tartar below the gumline. Bacteria trigger inflammation and pockets form between the tooth and gum. If left untreated, the body’s immune response breaks down the supporting bone — a process called bone resorption. Repeated infection and deep pockets let more bacteria survive, accelerating bone loss and making teeth unstable.
Early signs you should not ignore
– Bleeding when brushing or flossing – Persistent bad breath or a bad taste in your mouth – Gums that are pulling away from teeth (recession) – Teeth that feel loose or shift position See a dentist or periodontist if you notice any of these signs. Early care can stop bone loss before it becomes severe.
Daily habits that reduce your risk
Proper home oral care
Brush twice a day with a soft brush and a fluoride toothpaste, using gentle, short strokes along the gumline. Floss or use interdental brushes daily to remove plaque between teeth. An antimicrobial mouth rinse can lower bacteria levels, but it should not replace brushing and flossing.
Lifestyle changes
Quit smoking — it greatly raises the risk of gum disease and slows healing. Eat a balanced diet with enough calcium and vitamin D for bone health. If you have diabetes, keep blood sugar under control; uncontrolled diabetes worsens gum disease and bone loss.
Professional care: how to prevent bone loss in teeth near Rochester, NY
Early professional treatments
A periodontist can perform scaling and root planing (deep cleaning) to remove tartar and bacteria from below the gumline. Periscope-assisted cleanings let clinicians see and remove deposits in deep pockets. Regular periodontal maintenance every 3–4 months helps prevent recurrence and protects bone.
Minimally invasive laser options
Laser protocols like LANAP® and LAPIP™ target bacteria and diseased tissue while preserving healthy tissue. These approaches can reduce infection, encourage reattachment of gum to tooth, and often mean less discomfort and faster recovery compared with traditional surgery.
When bone loss is advanced: regenerative and replacement options
Bone grafting and guided tissue regeneration
Bone grafts and barrier membranes rebuild lost bone and support tooth stability. These procedures aim to restore the foundation around a tooth so it can be preserved rather than extracted.
Tooth replacement choices
When a tooth cannot be saved, dental implants are often the best long-term solution. Modern digital workflows improve accuracy and predictability for implant placement and restorations, even when bone loss makes planning more complex.
Questions to ask a specialist near Rochester, NY
– Do you use CBCT 3D imaging to assess bone loss? – What treatment options do you recommend and why? – What are the expected success rates and recovery time? – How will you manage long-term maintenance to prevent recurrence?
Why consider Progressive Implantology & Periodontics for bone preservation near Rochester, NY
Progressive Implantology & Periodontics offers advanced tools like LANAP®, CBCT imaging, and periscope-assisted care to diagnose and treat gum disease with less invasive techniques. Their Confident Smile™ digital implant workflow supports precise planning and restorations when replacement is needed.
Next steps / Short CTA
If you notice bleeding gums, bad breath, or loose teeth, schedule a periodontal exam right away. To learn how to prevent bone loss in teeth near Rochester, NY and protect your smile, book a consult with a periodontist experienced in modern laser and digital treatments.



