Sore and bleeding gums are common signs that the tissues around your teeth are irritated or infected. They can make eating, brushing, and talking uncomfortable. In Rochester, NY, seasonal allergies, dry winter air, and higher tobacco use in some groups can make gum problems worse. This article covers common causes, how dentists diagnose the issue, simple treatments, home care, and when to see a specialist for sore and bleeding gums in Rochester, NY.
Common Causes of Sore and Bleeding Gums in Rochester, NY
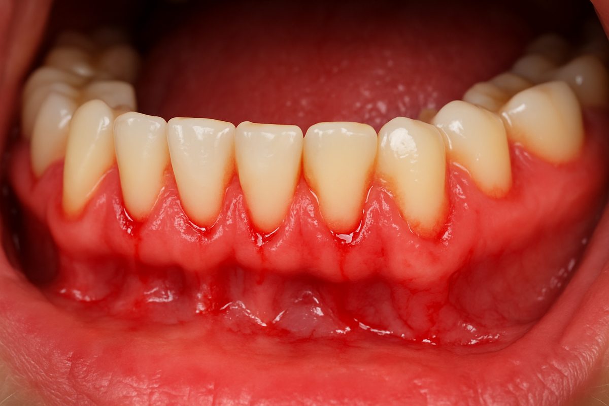
Gingivitis and plaque buildup
Bacterial plaque is the main cause of sore and bleeding gums in Rochester, NY. Plaque forms daily and irritates the gum line, causing redness, tenderness, and bleeding when you brush or floss. Early-stage gum disease (gingivitis) is reversible with better cleaning and professional care.
Periodontitis (advanced gum disease)
If gingivitis is left untreated, it can progress to periodontitis. This causes pockets between the teeth and gums, bone loss, and loose teeth. Periodontitis often leads to persistent sore and bleeding gums in Rochester, NY and needs professional treatment to stop damage.
Trauma, brushing, and habits
Brushing too hard, using a hard-bristle brush, or flossing incorrectly can injure gums and cause bleeding. Tobacco use, chewing tobacco, and oral jewelry also irritate tissue and increase the chance of sore and bleeding gums.
Medications and medical conditions
Some medications, like blood thinners, make bleeding more likely. Conditions such as uncontrolled diabetes, hormonal changes (pregnancy, menopause), and vitamin C or K deficiencies can all increase the risk of sore and bleeding gums.
Symptoms That Mean Your Sore and Bleeding Gums Need Immediate Care
Seek prompt care if bleeding continues after brushing, if there is heavy bleeding, swelling, pus, bad breath that won’t go away, loose teeth, fever, or jaw pain. These signs can mean an infection or advanced disease needing urgent treatment.
How Dentists Diagnose Sore and Bleeding Gums
A dentist or periodontist will do a clinical exam, check gum color, swelling, and measure pocket depths with a probe. They may check tooth mobility and gum recession. Bitewing or periapical X-rays, and sometimes CBCT scans, help assess bone loss. Clinicians may use perioscopy or intraoral photos to document and track disease.
Treatment Options for Sore and Bleeding Gums Near Rochester, NY
Non-surgical care
Initial care often includes professional scaling and root planing (deep cleaning) to remove plaque and tartar below the gumline. Local antimicrobials or short antibiotic courses may be used in select cases. Regular cleanings and monitoring follow.
Laser and minimally invasive therapies
Laser-assisted protocols can reduce bacteria and promote healing with less discomfort and bleeding than traditional surgery. These options can be effective for many patients with sore and bleeding gums in Rochester, NY.
Surgical and regenerative approaches
For advanced cases, flap surgery, bone grafting, or soft-tissue grafts may be needed to reduce pockets and restore lost support. These procedures aim to stop disease and preserve teeth.
At-Home Care and Prevention for Sore and Bleeding Gums
Brush twice daily with a soft brush, floss daily, use an antiseptic rinse if recommended, and avoid tobacco. Manage diabetes and correct vitamin deficiencies with your doctor. Choose ADA-accepted toothpaste and schedule regular hygiene visits every 3–6 months.
Advanced, Minimally Invasive Options by Rochester, NY Specialists
Progressive Implantology & Periodontics in the Rochester area offers LANAP®/LAPIP™, CBCT imaging, perioscopy, and guided digital workflows for less invasive, predictable care. Dr. Suresh Goel and his team focus on faster healing, reduced bleeding, and targeted treatments for complex cases such as peri-implantitis or advanced periodontitis.
How to Get Help for Sore and Bleeding Gums in Rochester, NY
At a first visit expect an exam, probing, possible imaging, and a clear treatment plan tailored to your needs. If you have persistent sore and bleeding gums in Rochester, NY, schedule an evaluation with a periodontist or dental specialist to protect your oral and overall health.



