
Gum On Tooth In Rochester, NY: Causes, Concerns, & How To Remove It
Intro: If you’ve noticed a raised, soft flap or swollen tissue next to a tooth, you may be describing a “gum on tooth.” People in

Intro: If you’ve noticed a raised, soft flap or swollen tissue next to a tooth, you may be describing a “gum on tooth.” People in

Early gum disease is common and treatable, but it can get worse if ignored. This short guide will help you spot early warning signs, try

Is a “perio patient” you? Understanding gum disease Being a “perio patient” means you have or are at risk for periodontal (gum) disease. Knowing this

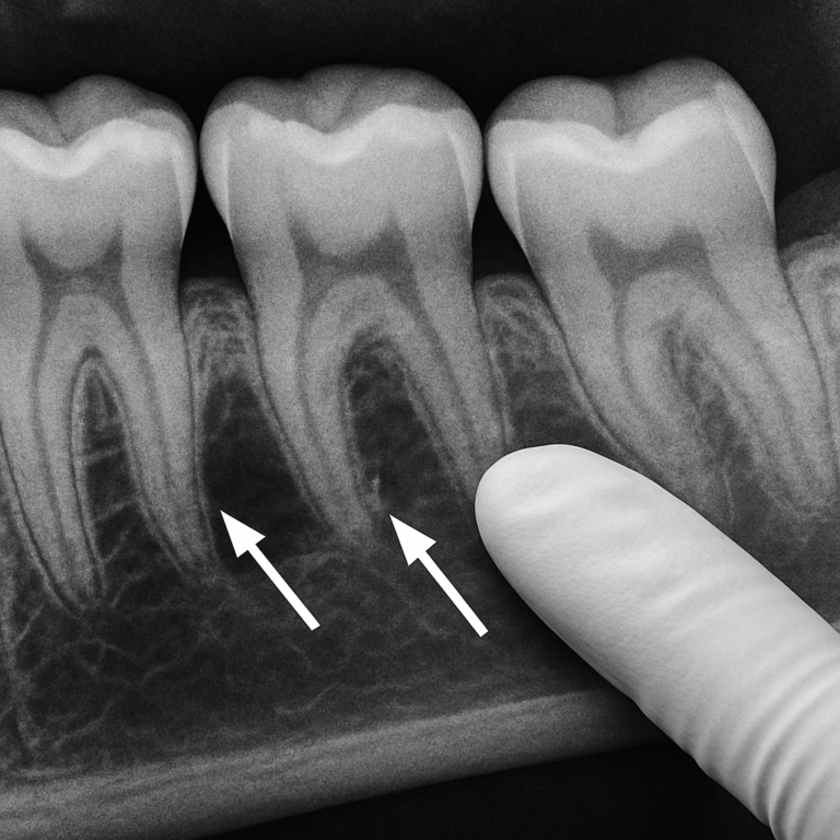
Bone loss from gum disease happens when bacteria under the gumline destroy the bone that holds your teeth. This process can start quietly and progress

Understanding & Preventing Diseases Of Teeth Good teeth matter for comfort, eating, and your overall health. Diseases of teeth are problems that damage tooth structure

Thinking about a teeth extension? This article explains what “teeth extension” means in plain terms and who might read this. If your teeth look short,

Many studies and health experts link oral health and heart health. Problems in the mouth, especially chronic gum disease, can raise inflammation throughout the body
I am text block. Click edit button to change this text. Lorem ipsum dolor sit amet, consectetur adipiscing elit.