
Understanding Staging & Grading For Gum Disease Near Rochester?
This post explains gum disease staging and grading and what the terms mean for patients near Rochester. You’ll learn how dentists decide how bad gum

This post explains gum disease staging and grading and what the terms mean for patients near Rochester. You’ll learn how dentists decide how bad gum

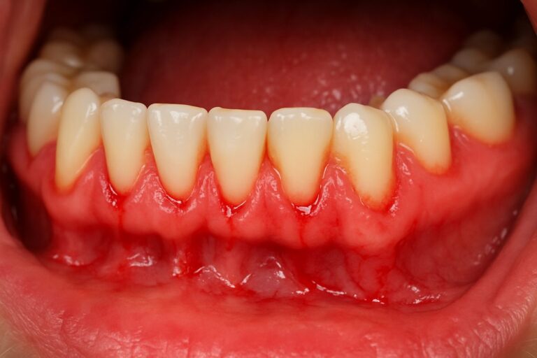
Sore and bleeding gums are common signs that the tissues around your teeth are irritated or infected. They can make eating, brushing, and talking uncomfortable.

Noticing gums dark purple can be alarming. If you or a loved one sees gums dark purple near Rochester, NY, this guide explains common causes,

Detached gums near Rochester, NY are when the gum tissue pulls away from the tooth, exposing the root. This can be a sign of gum
I am text block. Click edit button to change this text. Lorem ipsum dolor sit amet, consectetur adipiscing elit.